
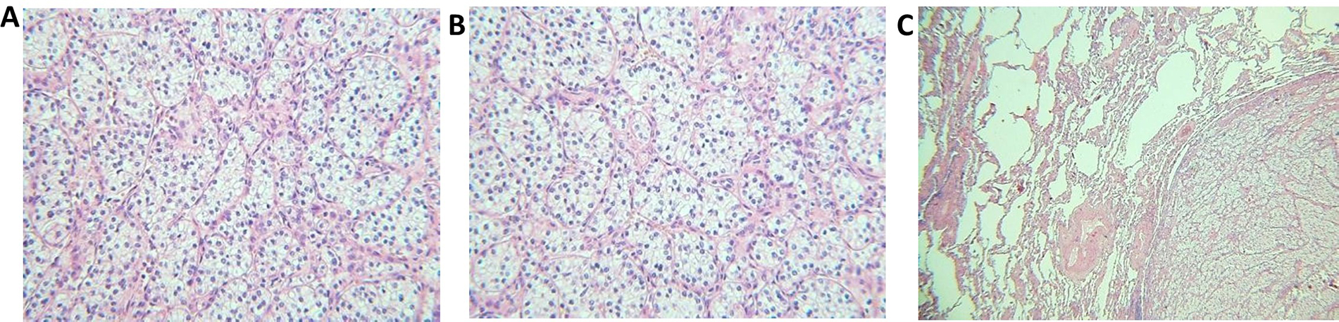
Histopathological images of the tumors. (A) Clear-cell RCC, primary tumor (40× magnification); (B) clear-cell RCC, primary tumor (40× magnification); (C) pulmonary metastasis of RCC (20×, magnification)
The supplementary material for this article is available at: https://www.explorationpub.com/uploads/Article/file/1002165_sup_1.pdf.
M Bersanelli: Conceptualization, Investigation, Data curation, Writing—original draft, Writing—review & editing, Supervision. LG: Conceptualization, Investigation, Data curation, Writing—review & editing. FPP: Investigation, Data curation, Writing—review & editing. EV, FQ, NC, ER, and RC: Investigation, Writing—review & editing. PC, EMS, M Rusca, and FL: Investigation, Resources, Writing—review & editing. UM, M Rizzo, and M Brunelli: Investigation, Writing—review & editing. SB and LA: Conceptualization, Investigation, Writing—review & editing, Supervision. All authors read and approved the submitted version.
The authors declare that they have no conflicts of interest.
The study was approved by the ethics committee of Parma with reference number 23358, dated 05-jul-2016. The research complies with the Declaration of Helsinki.
Informed consent to participate in the study was obtained from all participants.
Not applicable.
All datasets for this study are included in the manuscript and the supplementary files.
Not applicable.
© The Author(s) 2023.